歯周病とは
まずはセルフチェックをしてください
成人のおよそ8割に歯周病の症状が見られ、歯周病は「国民病」「生活習慣病」とも言われています。
歯周病は必ずかかるわけではありません。歯周病の多くは、原因であるプラークや歯石を日頃の歯磨きや、定期的な歯科検診などを受けることにより除去することで予防することができます。予防できない歯周病もありますが、遺伝性の病気など、非常に特殊な場合です。
自分では気づきにくく、知らず知らずのうちに進行してしまうのが歯周病です。
定期検査・早期発見・早期治療が大切です。
当医院では歯周病認定医・専門医による歯周病治療を行っております。
歯ブラシのときに出血する | 歯磨きのとき一度でも出血したことに気づいたならば、早めの受診をお奨めします。 |
---|---|
朝起きたときに歯ぐきに違和感がある | 夜寝ている間は、唾液が流れずお口の中が乾きやすくなります。お口の中が乾くと細菌の活動性が高くなります。つまり寝ている間は歯肉にとって危険な時間といえるでしょう。 |
歯ぐきが腫れるときがある | 歯ぐき(歯肉)がはれたのは炎症があるためです。その症状は多くの場合慢性で、自覚症状がないまま進行します。ただ、全身的な免疫力が弱まったときなどに痛みや違和感といった自覚症状として現われやすくなります。 |
歯の根が腫れる | 歯肉は体の中でも非常に敏感な部分です。歯肉に慢性の(緩やかに進行している)炎症があるところは、体調を崩したときに症状が出ることがよくあります。 |
歯ぐきは赤くないのに歯の根元だけ赤い |
---|
これは根尖膿瘍という、う蝕が原因からできるものです。ただし、歯の周囲から進行する歯周病が歯根の先まで達すると同じような症状が出る場合があります。 |
ポケットが深くなったと聞きますが、ポケットとはどんな状態でしょうか? | 歯肉や歯周組織に炎症が起こると、歯肉が腫れることによって歯肉溝が深くなります。これを仮性ポケットと言い、歯肉炎という状態をあらわします。さらに歯と歯肉が付着している部分が根の先の方へ移動していきます。これを歯周ポケットといいます。移動した距離をアタッチメントロスといい、この距離で歯周病の重症度を判定します。 |
---|---|
口臭があると家族に指摘されたので、一生懸命歯ブラシをしていますが、あまり変わりません | 口臭は歯周病が進行した場合、歯周ポケットの中にいる歯周病原性細菌が原因であることが多くあります。 |
歯のまわりに白くうっすらと膿の様なものが出るようになりました | 膿のように見えていても、プラークであることがあります。重症の歯周病になると、歯周ポケットが深くなり、歯の神経が死んでいて根っこの治療も必要になっている可能性があります。このような症状であれば家庭療法でなおすことは不可能です。 |
治療法と治療例
患者さまごとに違います
歯周病はその進行の度合いによって治療方法が大きく異なります。軽度の場合にはブラッシング指導を行い、日々の自宅ケアで済む場合もあれば、歯周組織が溶かされて歯周ポケットが深くなり日々の生活に影響が出るような歯周病の場合には外科的な治療を必要とする場合もありますので一概にどのような治療ということをお伝えすることはできませんが、当医院での過去の症例をご覧頂いて、ご自身の歯、歯周と比較し、ご相談いただければと考えております。
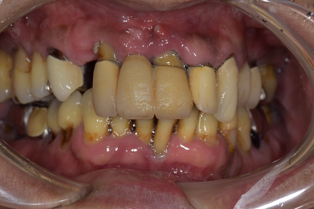
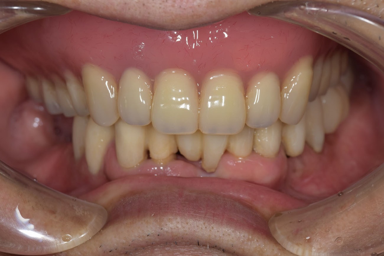
重度の歯周病
噛むことができない歯の状態から
治療前

治療後

治療前は、お口の中が重度の歯周病にかかっており、歯が大きく動いていたため、ものを噛むことが出来ない状態でした。
治療後の写真は、歯周病の基本的な治療と仮の入れ歯と仮歯にてかみ合わせをある程度再建した状態です。ここから更に保存できそうな歯に関しては、歯周病の専門的な手術を受けて頂き、歯周病の治療していくことになります。
どんな病気でもそうですが、初期に治療すればするほど、簡単な治療のみでしかも高い確率で治すことが出来ます。逆に、進行すればするほど、患者さんにも負担のかかる手術などを行う必要が出てくるうえに、元に戻すことは非常に難しくなってしまいます。
その為、当院では虫歯や歯周病が進行しないように、予防に力をいれています。
本格的な治療を行う前に、ブラッシングの改善や歯石の除去などに数回通院していただくことがあることにご理解いただけると幸いです。
歯周組織再生療法
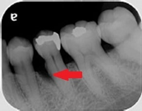
歯周ポケットと歯茎の関係


治療前は、赤の矢印で示すように歯の周りに黒いところがあることが分かるかと思います。簡単に言うと、骨が溶けた状態になります。
通常、歯周ポケットと呼ばれる歯と歯茎の間の溝は3㎜程度なのですが、10㎜を超える歯周ポケットがありました。CTは、手術前に骨の欠損形態を的確に把握できるため、歯周病の治療にも非常に有用です。


歯周病の基本的な治療を行い、その後に、歯周組織再生療法という失われた歯の周りの組織を再生させる手術を行って約2年のレントゲンになります。
青の矢印で示すように、治療前黒かった部分が、白くなってきていることが分かるかと思います。失われた歯周組織の再生が促されていることが推測されます。CTにおいても歯の周囲の失われた骨が再生してきていることが、分かるかと思います。
少し前までスタンダードであったことが、スタンダードではなくなったり、歯科の治療は、日々変化しています。手術の方法など細かいところを改善して、少しでもいい治療結果に導けるように頑張っていけたらと思います。
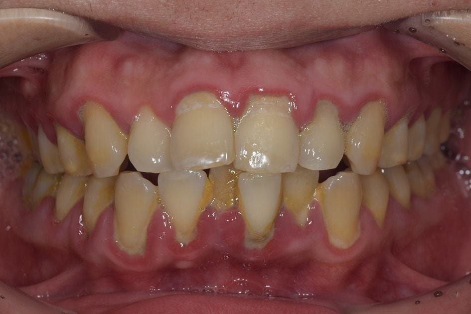
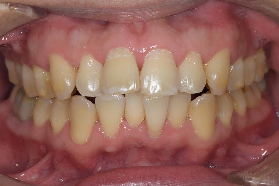
基本的な歯周病治療の重要性
基礎をしっかりすることが重要です

上の写真は、当院に初めて来られた時の状態です。初診時は歯石も多く、歯ぐき、特に歯の付け根が赤く炎症しているのがわかるかと思います。

こちらの写真は、当院での基本的な歯周病治療を行った後の状態になります。
赤かった歯茎がある程度健康なピンク色に変化していることがよくわかるかと思います。ここから本格的な歯周病治療が必要ですが、本格的な治療を始める前にある程度炎症のとれた歯茎にしておくことは、非常に大切です。
家を建てる時に、基礎工事をしっかり行うと思いますが、歯も一緒で、歯茎が基礎だと思っていただくと、分かりやすいかと思います。粘土の上に家を建てても長持ちしないのと一緒で、歯も基礎である歯茎や根の治療をしっかりしていないと、その後の治療も長持ちしません。その為、当院では緊急性のある痛みを除く治療以外は、歯周病の治療をまずは優先させて行っております。
歯周組織再生療法
歯周組織再生療法後2年6ヶ月

初診時のレントゲンで、赤の矢印が示す黒いところは、簡単に言うと歯周病で歯の周りの骨が溶けてしまっている状態です。

歯周組織再生療法という歯の周りの骨の再生を促す手術後2年6ヶ月後のレントゲンでは、緑の矢印で示すように、黒かったところが白く変わっていることが分かるかと思います。溶けてしまっていた骨の再生が、促されていることが推測されます。
このような治療効果も、患者さんご自身でのブラッシングの状態が悪いと長持ちしません。
そのため、当院では治療の前に必ず適切なブラッシングを身につけていただくために現在使用中の歯ブラシを持参してもらい、 歯ブラシの硬さや大きさ、動かし方が適切か見させていただいています。 強い痛みがあるときは、もちろん痛みをとる処置を優先してさせていただきます。
適切なブラッシングは、治療の効果を長持ちさせるために非常に重要なものですので、ご理解いただけると幸いです。
歯周病治療の流れ
最終目標はご自身での日々のケアです
虫歯の治療もインプラント治療も歯周病の治療も、まずは患者さんご自身でのブラッシングが良好にならなければ長持ちしません。そのため、当院ではブラッシングの改善が見られた後に本格的な治療にうつっていきます。
小さなことの積み重ねが、結果治療の長期的予後につながると考えています。そのため、どうしても治療期間は長くなりますが、ご理解いただけると幸いです。

- 検査
- プラーク(細菌)
- 歯周ポケットの深さや出血の有無
- 歯ぐきの状況
- レントゲン撮影
- CT撮影
- 治療計画
- 検査結果を参考に患者様に最善の方法での治療計画を提案させて頂きます。
- 基本の治療
- 現状痛みのある歯の治療は行います
- 歯磨き指導
- 普段使っている歯ブラシを持参いただいて最適な歯磨きができるように指導を行います。
- 本格的な治療
- 歯磨きにより歯ぐきの炎症が治まれば提案をした治療計画に基づいて治療に進みます。治療の内容は患者様ごとの口腔内の状況により異なり、歯周病治療のみの場合もあれば全顎的(根幹・歯周病・インプラント・審美)な治療を含めたものになる場合もありますが、まずは治療計画の段階で、患者様ごとにご相談をさせていただければと考えております。
- メンテナンス
- 歯周病は普段のケアの状況にもよりますが再発しやすい病気です。定期的なメンテナンスで口腔内の確認をして患者様ごとのメンテンナンスを実施し、長く健康な歯を維持できるようお手伝いができれば幸いです。