総合的な治療
お口の中全体を治療した治療例です
歯周病治療やインプラント治療などでお口の中全体を治療した治療例のご案内です。
 
治療例
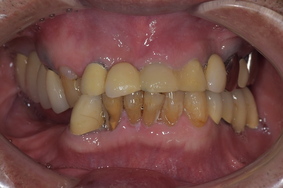
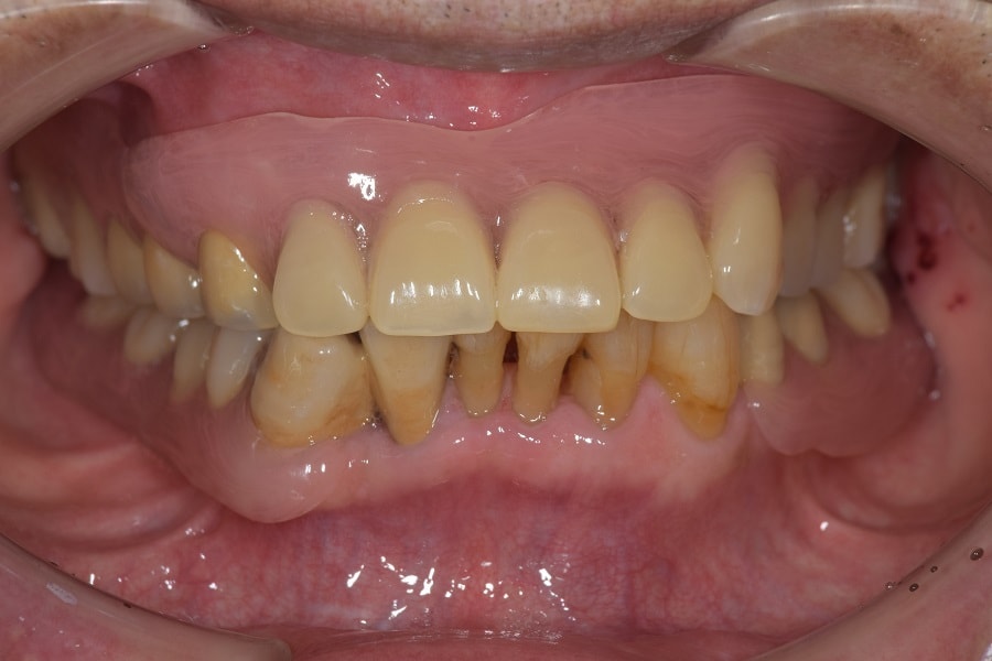
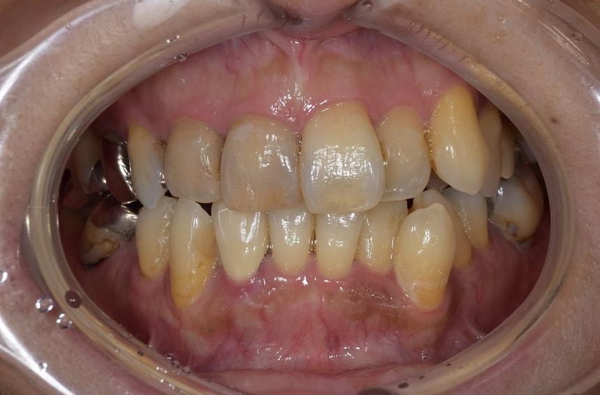
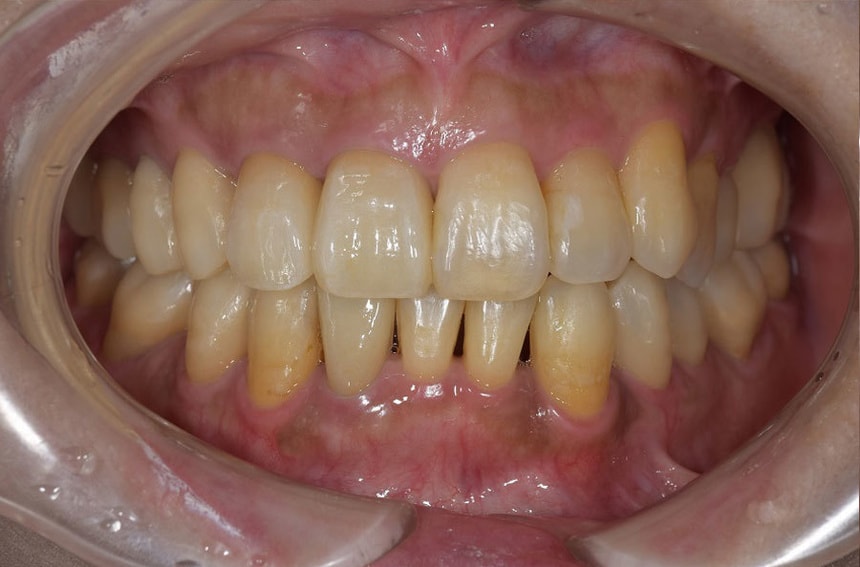
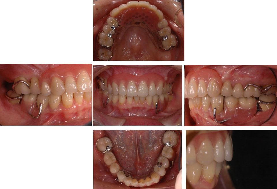
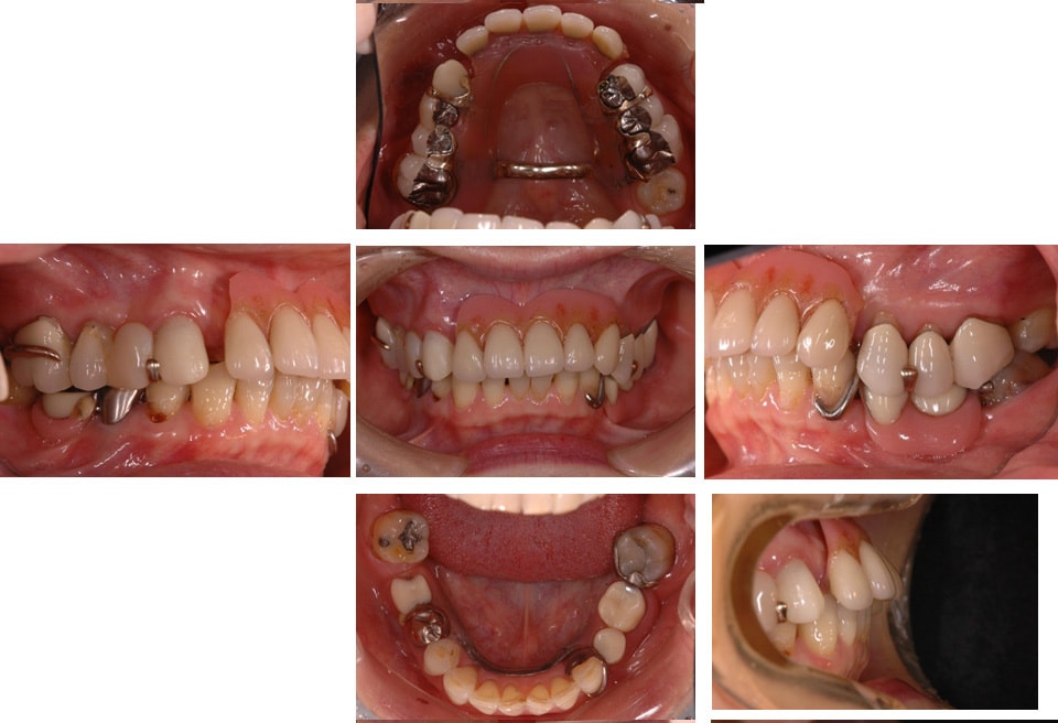
部分矯正を含めた全顎的な治療
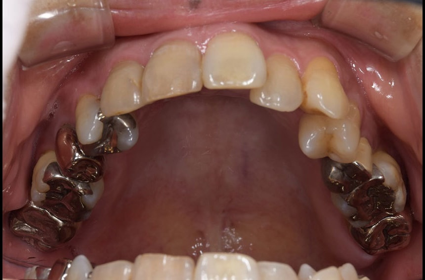
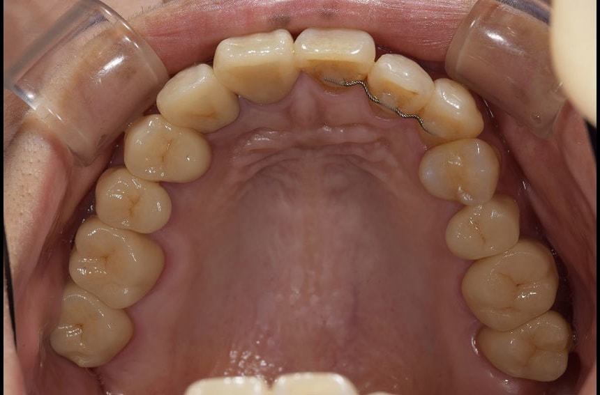
前歯の治療前後
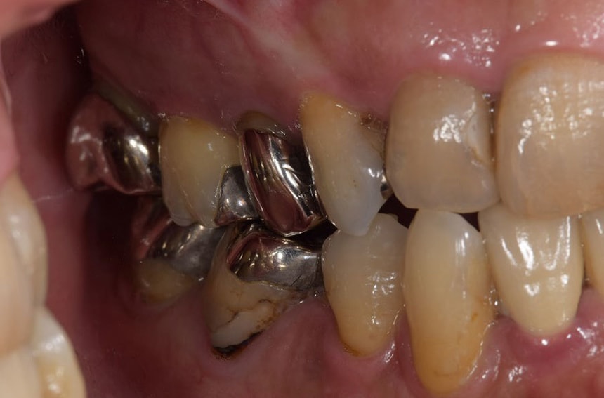
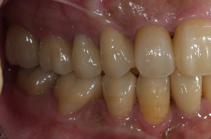
右奥歯の治療前後
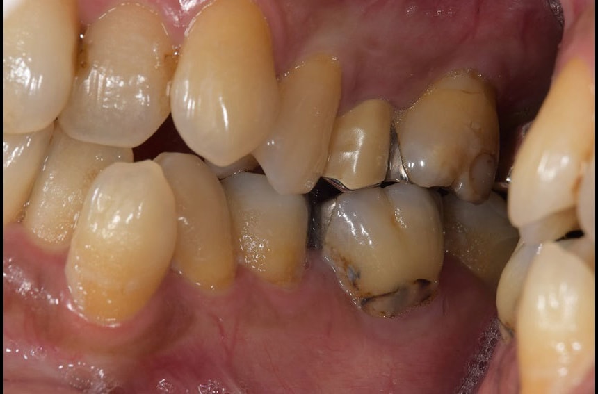
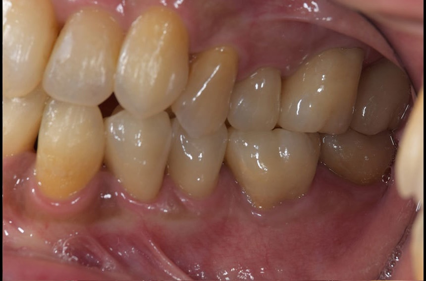
左奥歯の治療前後
上の歯の治療前後
 
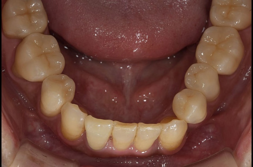
下の歯の治療前後
 
 
最小限の矯正治療や過去に治療した銀歯の隙間から虫歯になった歯や神経の再治療を行いました。もう少し修正が必要なのですが、部分矯正も含め長い治療になり、とりあえずはお疲れさまでした。
治療は、僕たちは当然ですが、患者さんにも頑張って頂いて初めてうまくいくものかなとも思います。定期的に通院していただいたり、治療が間延びしないことも治療がうまくいく要因の一つのように感じます。
 
治療が終了して終わりではなく、維持するためこれからメンテナンスが、始まると思っていただければ幸いです。現状が、できるだけ長期に維持できればと考えています。
治療例
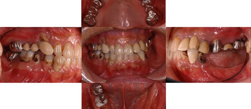
かみ合わせが崩れてしまった場合
治療前のかみ合わせのままで治療しても長持ちしないこと、本来のかみ合わせから崩れてしまっていると判断し、お口の中を総合的に治療する治療方法を提案させていただき治療を行いました。
 
 
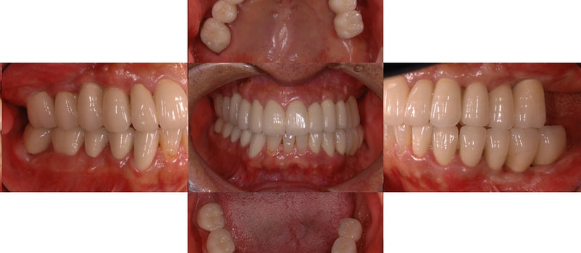
                治療前
 
 
                治療後
咬むと前歯が痛いと来院された患者さん。奥歯がないため、前歯に負担がかかり、下の歯がないまま放置していたため、上の歯が下に下がってしまうなど様々な問題をお口の中に抱えていました。
 
治療前のかみ合わせのままで治療しても長持ちしないこと、本来のかみ合わせから崩れてしまっていると判断し、お口の中を総合的に治療する治療方法を提案させていただき治療を行いました。
 
残すことが出来ない歯の抜歯などを行うと、すれ違い咬合という治療するには難しいかみ合わせであったことなど、仮の入れ歯などで咬合状態の経過観察などを行ったため治療期間は約2年ほどかかりました。
 
治療の内容にもよりますが、しっかり診断し治療を行っていくとどうしても治療期間がかかってしまいます。患者さんにはその点ご理解いただけると幸いです。
治療例
某病院の歯科口腔外科より紹介され、当院受診。
治療前から治療後
治療前レントゲン
 
 
               治療後レントゲン
 
 
               奥歯をインプラントにて治療し、よく噛めるようにしました。また、虫歯や歯の根の治療のやり直しを行いセラミックにて審美的に修復しました。
どんな治療にもメリット・デメリットがあります。患者さんの年齢や口腔内の状態、さまざまな要因で、治療のメリット・デメリットの大きさは、変わってきます。患者さんの状態によって、受ける治療のメリット・デメリットは異なるので、治療を受ける際は、よく説明を受けられてからの方が、安心して治療を受けることが出来るかなと思います。
 
インプラントや入れ歯、ブリッジもそれぞれメリット・デメリットがあります。
なかなか難しいのですが、それぞれの患者さんに、ベストの治療法が提案できればなと思います。
 
 
               
 
               
 
              
 
              
 
              
 
              
 
               
 
                  
 
                  
 
                  
 
                  
 
                  
 
                  
 
                  
 
                  
 
                  
 
                  
 
                 
 
                 
 
                