大阪府高槻市紺屋町6−19 片岡ビル 3F

9:00~13:00/14:00~18:00 日曜休診/木・土隔週休診

TEL: 072-682-8188

日本歯周病学会歯周病専門医が
歯の治療を行う歯科医院です。

日本歯周病学会歯周病専門医と認定医の両資格を持つ歯科医師・歯医者が治療にあたるのは高槻市では片岡歯科紺屋町診療所が唯一です。
titile0001.jpg titile0002.jpg titile0004.jpg titile0003.jpg
片岡歯科紺屋町診療所 大阪府高槻市紺屋町6−19 片岡ビル 3F  9:00-13:00/14:00-18:00 日曜休診/木・土隔週休診 TEL: 072-682-8188

審美治療とは

美しいお口を手に入れたい方へ

審美治療とは審美性と機能性を両立させる治療です

歯の機能を回復するだけでなく、歯の美しさ、お口の美しさを回復させることが「審美歯科」の目的です。
 
そもそも歯には、食事をするという機能的な面と、素敵な笑顔や美しい歯並びという審美的な側面があります。どちらも日常生活を送るうえで重要な要素です。
 
審美治療では十分な機能回復と同時に、自然でキレイな口元を追求しています。(どこに人工の詰め物や被せ物が入っているかわからない状態を目指します。)
 
自由診療である審美治療は、歯科医師が持っている技術を最大限に活用して、患者様に合わせた治療ができるのです。
 

治療法と治療例

患者さまごとに違います

審美治療はその度合いによって治療方法が大きく異なります。歯の健康状態をチェックし、必要な施術を行い、その上で審美治療に進みますので一概にどのような治療ということをお伝えすることはできませんが、当医院での過去の症例をご覧頂いて、ご自身の歯、歯周と比較し、ご相談いただければと考えております。
 

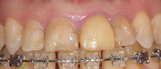
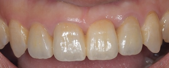
前歯の審美領域の治療

審美治療と神経歯茎の治療

前歯の審美領域の治療

治療前は、歯並びや過去に治療したかぶせ物と歯の間から虫歯ができたり、過去に神経を治療した歯の根の先に膿がたまったりと、色々な問題が起きていました。
前歯の審美領域の治療

一つずつ問題を解決するために、歯並びや神経の再治療をラバーダム防湿下に行ったり、歯を残すために、歯茎の手術を行ったり、患者さんにも頑張って頂きました。

前歯は見た目も大事だと思うのですが、実は患者さんに分かりにくい治療になるのですが、神経の治療や歯茎の治療が非常に大切だと考えています。やはり1度目に再治療をしなくていいような治療を受けることで、歯の寿命は全く変わってくると思います。
 

歯は、やはり治療しなくていいに越したことはありません。

 治療をすることで、ある程度回復はできますが、自分の歯ほどよく出来たものは無いなと思います。その為には、予防が一番大切です。自分自身の歯で生涯食事をするために、大切なことを身に着けるために当院では、定期的なメンテナンスやその都度ブラッシング指導等を行っています。

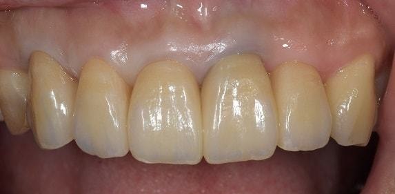
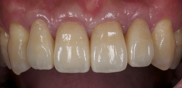
その他の審美領域の治療

包括的な治療の延長線の審美治療

審美治療例

初めて来られた時は、歯茎が腫れたり、歯とかぶせ物の間に隙間があり、そこから虫歯になったり、根の先に膿がたまっていたりと、様々問題がありました。
審美治療例

歯ぐきの治療や、神経の再治療などを行うことで、それらの問題を1つずつ解決しました。

どうしてもきっちり治療しようと思うと、時間がかかります。歯は治療するたびに少なくなるので、残念ながら何度も治療することはできません。できるだけ精度の高い、再治療の少ない長期的に予後の良好な治療ができたらなと思っています。

審美治療例

来院時は歯ぐきも赤く腫れて、お口の中の清掃状態もよくない状態でした。
審美治療例

お口の中の清掃状態も著明に改善し、歯ぐきも健全な状態が維持されています。

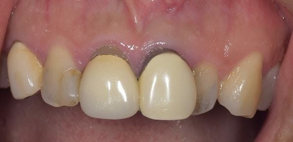
この患者さんは、上の前歯の治療を希望され、当院を受診されました。

来られた当初は、歯ぐきも赤く腫れて、お口の中の清掃状態もよくない状態でした。まずはブラッシング指導などを行い、歯を守るためのブラッシングの重要性や、歯の大事さを理解していただけたようで、治療後2年経った今では、お口の中の清掃状態も著明に改善し、歯ぐきも健全な状態が維持されています。
 
治療前のブラッシングの状態と今のブラッシングの状態では、将来のお口の中は、変わってくると思います。どんな治療も長持ちさせるには、患者さん自身で、お口の中を清潔な状態に保てるということが、第一条件になります。そのため、当院では本格的に治療を行う前の、ブラッシング指導に力を入れてさせていただいています。
 
強いが痛みがある場合は、そちらを優先して治療していきますので、ご安心ください。

HOME | 歯の治療例 | 審美治療